[SAVE TREES,WATER,BIRDS,ANIMALS AND OUR BEAUTIFUL ENVIRONMENT🙏🙏GROW ONE TREE ON YOUR EVERY BIRTHDAY OF YOUR LIFE 🙏🙏]
![PYORRHEA : BYE BYE BLEEDING GUMS AND BAD BREATH [HALITOSIS] 2 - PYORRHEA](https://sonimug.blog/wp-content/uploads/2026/01/1769875305879-1024x683.png)
Pyorrhea is the accumulation of the bacteria in the mouth and tooth causes inflammation of the gum. Another name of the disease is Periodontitis. The accumulation of bacteria in the mouth is called plaque. Plaque is a sticky and thin layer of bacteria. It is the beginning phase. It can be removed by brushing.
Another term is Tartar. It is the second stage in which long time accumulation of plaque becomes hard because of minerals present in saliva and causes bad breath. It is removed by the dentist by scaling.
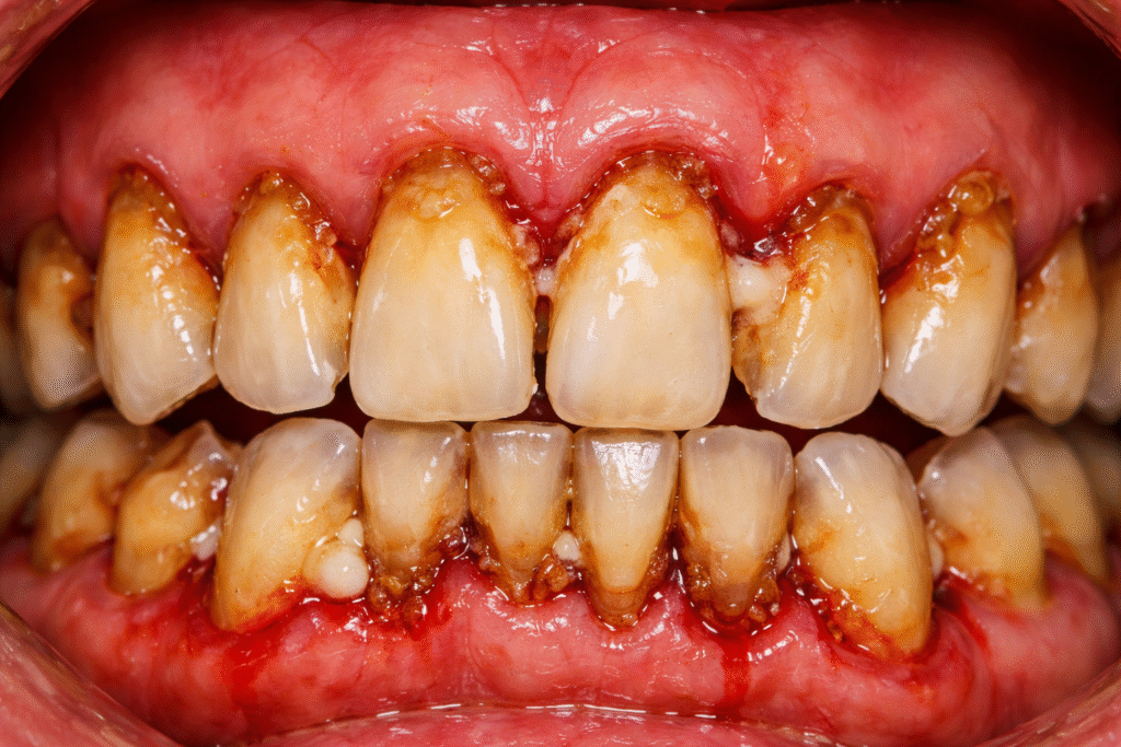
The third stage is pyorrhea in which yellow pus starts coming out from the mouth. It is the severe stage that can be treated by professional dental doctors.
CAUSES
1 . Not brushing or cleaning teeth
2 . Habit of chewing Tobacco
3 . Smoking leads to pyorrhea
4 . Genetic family history also causes pyorrhea
5 . Hormonal changes. Example – after pregnancy
6 . Some medicines can cause inflammation of the gums
7 . Diabetic patients
8 . Autoimmune diseases.
9 . Eating in the same plate with a pyorrhea affected person can also affect others.
10 . Not to eat leftover foods or drink water of a pyorrhea affected person.
11 . Always eating habits
12 . Improper digestion of food
13. If someone has Lever problem, level of acid increases in the blood
14 . Infected blood and acidic blood also a reason
15 . Meat, spicy foods, more sweetened foods, chewing betel etc.
16 . Practicing Breathing from mouth instead of nose
17 . Constipation
18 . Indigestion
19 . Foods not chewing properly
SYMPTOMS
1 . Problems in chewing
2 . In pyorrhea ,Starts sensitivity of tooth
3 . Pus and yellowish fluids will come out from the gums causing bad breadth, foul smells whenever he / she will talk.
4 . Gums appear more reddish in pyorrhoea
5 . Tooth starts moving
6 . Sometimes tooth fall or loss
7 . Growth of tooth badly affected
8 . Swollen gums
9 . Bleeding while brushing
10 .Bleeding while chewing or tearing foods such as apples , guava etc. The blood stain will appear on the fruits.
11 . Foul or bad breadth doesn’t go away even after brushing and mouthwash.
12 . Sometimes Pain in the tooth therefore is often unnoticed.
13 . Lack of vitamin C
14. Not able to talk and smile confidently in front of people.
15 . Loose of confidence
16. Social discrimination because of the foul bad breath during talking and conversation.
PREVENTION
1 . Try to Brush of teeth after every meal
2 . Regular check ups at least once a year as possible
3 . If there is any food stuck in the teeth, it can be removed from floss.
4. Anti -bacterial Mouthwash provided by professional doctors
5 . In absence of treatment, the tooth starts loosing or falling.
![PYORRHEA : BYE BYE BLEEDING GUMS AND BAD BREATH [HALITOSIS] 3 - PYORROHEA](https://sonimug.blog/wp-content/uploads/2026/01/1769864138489-1024x683.png)
AYURVEDIC TREATMENT OF PYORRHEA
1 . After meal ,we should clean our teeth with the help of good traditional herbal tooth powder ( manjan) using middle finger.
2 . Brushing teeth with the neem twigs and babul twigs.
3 . Gently rub the teeth with mustard oil with salt from the middle finger and rub it in such a way that the gums get a massage properly. It makes teeth and gums strong and healthy.
4 . During toilet and poops, we should grind, clench or grit our teeth. The process helps in easily passing out of poops and removing constipation and grinding teeth makes strong teeth.
5 . We should take Triphalachurna (10gm) with normal water before sleeping.
6 . Avipattikar churna twice a day , helps in balancing the pitta dosha of the body.
7 . Make kadha from the bark of a jamun tree. The kadha can be used as mouth washing. Use this kadha two -three times a day.
8 . The neem oil can be used as anti-septic and anti- microbial ointment. It can be applied on tooth gums, leave it for 5- 10 minutes then wash it with normal water.
9 . Dry roast the Alum and grind into fine powder. It can be used as dant manjan. Can also be used as mouthwash.
10 . If the food particles are stuck between the teeth after eating, remove it with neem floss.
11 . Clean or brush teeth with the help of neem twigs, babul twigs . Mango and bamboo twigs are also used in cleaning teeth.
12 . Lemon water can be taken in morning and evening time.
13 . Less use of salt, sweetened, spicy and oily foods
14 . Spinach + carrot + wheat grass + jowar = make juice of these. The juice is itself a great medicine for all things.
15 . Jatamansi (10 gm) + Neela thotha (10 gm) + black pepper (5 gm) + Clove ( 2 gm) + Carrom seeds (2 gm) + Dry ginger ( 5 gm) + Camphor (1 gm) + Sendha salt (5 gm) + Geru ( 10 gm) = make churna /powder of these things.
The churna or powder can be used as dant manjan. The manjan is applied on the tooth and gums with the finger and massaged gently. Wash it with normal water. Helpful in pyorrhoea.
15 .Take light and easily digestible foods, so you do not get problems from constipation and indigestion.
16 .At night we can take Harre / Harad before consuming warm milk.
17 . Amlachurna (2 gm) can be taken with normal water in the morning
18 . Red chilli, Tea, coffee, spices, meats tobacco should be avoided
19 . Early taking action protects not only teeth and gums but also your health and it lets you smile and laugh confidently for all coming years of your life.
WRITTEN BY :- SONI SHARMA
FAQ…..
1 . Which deficiency vitamin is responsible for Pyorrhoea ?
Ans . Vitamin C deficiency causes weakness and bleeding of gums.
2 . Is pyorrhoea contagious?
Ans. Pyorrhoea itself is not contagious. It is contagious when it comes in saliva contact. Example – sharing plate who has pyorrhoea.
3 . Is pyorrhoea common in adults?
Ans . Yes, it is common in adults but it can occur at any stage.
4 . Which toothpaste is good for teeth?
Ans . Everything is adulterated today. Ayurvedic options are very good .
Please read my other religious and philosophy blog…… rudrasharma.com
DISCLAIMER:- The article is for educational and information purposes only.
if you want to buy this please click here for product:- Electric tooth brush
Sources :- Thantakit
Sources:- other internet sources
Sources:- My study and researches .
![PYORRHEA : BYE BYE BLEEDING GUMS AND BAD BREATH [HALITOSIS] 1 - PYORRHEA](https://sonimug.blog/wp-content/uploads/2026/01/1769875305879.png)




